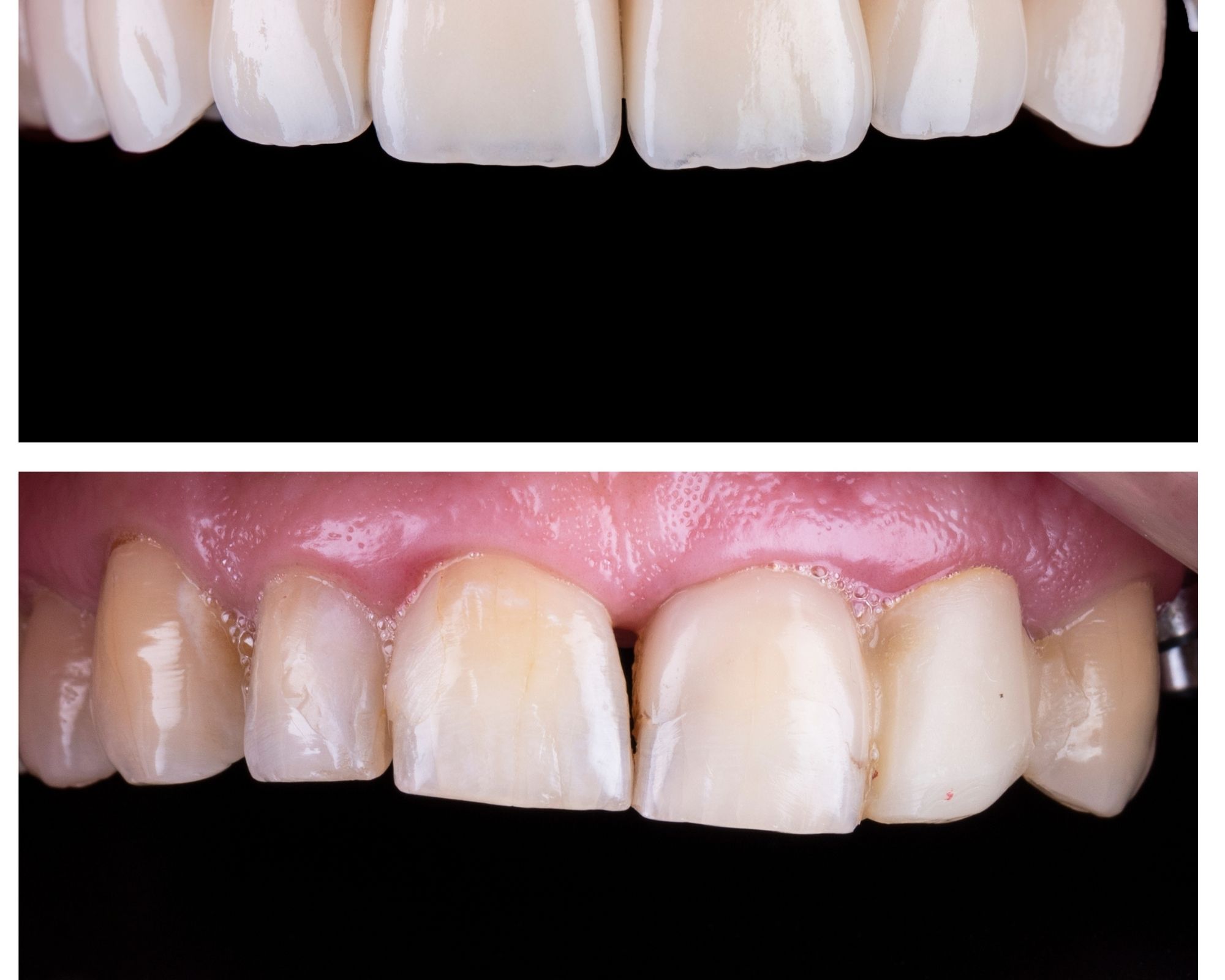
Porcelain veneers is a wonderful solution in cosmetic dentistry that gives you a beautiful smile. Veneers are thin shells made from porcelain, customised to fit over your teeth. It fixes a multitude of oral problems such as worn-down teeth, broken, chipped, stained, gapped, and misaligned teeth. If you wish to add longevity to the porcelain veneers, you must ensure that you take care of them. Our excellent dentists suggest some effective ways to look after your Porcelain Veneers to increase their durability.
1. Keep them Clean
Veneers don’t decay, but your teeth may. The decayed teeth beneath the veneers may cause the hue of the veneers to change. You may also be under the risk of developing gum disease. Therefore it is essential that you brush, rinse, and floss your teeth regularly. Brushing and flossing in the wrong way may cause the veneers to crack or chip. Our dentists at Wellington Point Dental will advise you on how to brush, floss, and rinse using the right techniques.
2. Pick the Right Brush and Toothpaste
Our skilled dentists advise using brushes with ultra-soft bristles or an electric toothbrush. Using a toothbrush with stiff bristles may scratch the surface of the veneers. Certain brands of toothpaste use ingredients that are abrasive for veneers and your teeth. Avoid those containing ingredients like baking soda, hydrogen peroxide, or sodium bicarbonate as they can cause the veneers to lose their sheen and colour.
3. Avoid Alcohol and Tobacco Products
The bonding composites that hold the veneers firmly to your teeth can be damaged if exposed to excessive alcohol. Tobacco, on the other hand, contains nicotine, which is harmful to our teeth in general. It also discolours and weakens the porcelain veneers. This is one of the very essential steps to follow to look after your Porcelain Veneers.
4. Watch Your Eating Habits
You must refrain from biting into hard food items such as apples, meats that contain bone, raw carrots, etc. Starchy foods and those that are high in acid or sugar such as bread, candy, chocolates, pasta, carbonated drinks, and juices, etc., must be consumed scarcely. Such foods can easily trigger tooth decay. You must also avoid consuming foods that have a lot of colouring.
5. Visit Your Dentist at Regular Intervals
Dental visits will ensure that your porcelain veneers stay in good condition. Regular visits to our dentist at Wellington Point will also help you maintain overall good oral health. Healthy teeth and clean veneers will help you have a beautiful smile always. People suffering from bruxism should discuss with our dentist and use a mouthguard. Those engaging in contact sports such as martial arts or boxing should also use a mouth guard, always.
At Wellington Point Dental, we offer all types of oral treatments, including porcelain veneers. Our team of excellent dentists will provide you with the most advanced oral treatment for your condition. Visit our office or call us at 3207 3911 for an appointment on the below details:
Wellington Point Dental
Address- 7/391 Main Road, Wellington on Main, Wellington Point, QLD 4160
Phone No- 3207 3911

